Straighter Teeth
Discreet braces for teens and adults in Ipswich
We offer a range of orthodontic treatments at Foxhall Dental Practice, including Invisalign.
All our systems use gentle forces to reposition your teeth so you can achieve a straighter, confidence boosting smile.
Dental braces have been available in the UK for some time albeit the old styled ‘train track’ versions which, it has to be said, whilst effective, were rather unsightly to wear.
Because of this, many people have avoided wearing dental braces. This is likely to be especially true of teenagers who fall in the most likely group to need them. Peer pressure and an increasing self-awareness perhaps being the main reasons for avoidance.
New generation orthodontics

Whilst it may be understandable that people do not wish to wear the metallic braces of old, the fact is that by not having their teeth straightened, not only do the teeth appear unattractive but, in some cases, this can lead to an incorrect bite and potentially other dental problems.
Thankfully, there are now a number of orthodontic devices available to us at Foxhall Dental Surgery in Ipswich which are not only effective, but fast acting and discreet too.
Whilst some of these orthodontics do use a similar wire and brackets approach as conventional orthodontics, the materials used are much finer and made from tooth coloured materials. This means that they are able to do their job efficiently without being overly visible to casual observers.
Other orthodontic methods focus solely on correcting the visible front teeth. Because the rear teeth are much more difficult to move into position, by focussing on the front teeth alone, the process is speeded up significantly.
This latter method is an excellent choice from an aesthetic view point although other methods may need to be used where alignment correction is needed for bite reasons, especially in the rear teeth.
Invisalign
Another method which is increasingly popular in the world of cosmetic dentistry is Invisalign. This method does not use the wire and brackets approach but works by providing the patient with a series of transparent ‘trays’ which fit directly over the teeth.
These are then worn for a period of time during which the tray will reposition the teeth a little at a time. When this has happened, the next tray will be fitted to move them a little more, and so on until the teeth are in their desired position.
Unlike other methods, Invisalign trays are easily removed and indeed are supposed to be removed when eating and cleaning the teeth.
The Invisalign method is not only very simple to use but, as well as being almost invisible to anyone who is unaware that the person is wearing them, they are also excellent in social situations. This is because the wearer can eat without fear of embarrassment of food becoming trapped in the braces.
Different types of orthodontics may be used depending on the situation. An appointment with our orthodontist will be needed to determine which is most appropriate and a course of action will be suggested during the consultation.
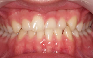
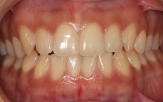
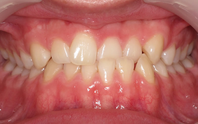
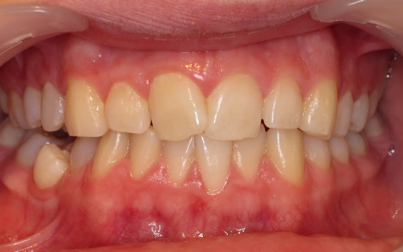
Case Studies
The below are case studies of treatments carried out in our clinic in Chelmsford, Essex. These show actual treatments of some of our patients, showing before and after photos taken during the procedure. You can view each slide by clicking the left and right arrows , you can also enlarge the slide image by clicking on it to view a more detailed image.
Orthodontics Cases - (8 cases showing before and after)



















